Rayscape Lung CT helps identify incidental pulmonary nodules on routine chest CT, including exams performed for reasons unrelated to suspected lung disease. It reviews studies in the background and provides structured characterization to support triage, follow-up, and more consistent case review.
Adding a consistent secondary layer of analysis reduces the risk that subtle yet important findings are overlooked and strengthens diagnostic safety within routine imaging workflows.
In daily practice, multiple chest CT scans are performed for reasons unrelated to lung disease. These exams frequently contain incidental pulmonary findings that may carry clinical significance.
Rayscape acts as a safety assistant, analyzing every study to help ensure potentially important lung nodules do not go unnoticed.

ROUTINE CHEST CT/ OR INCLUDING CHEST WINDOWS
AI RUNS IN THE BACKGROUND
RELEVANT CHANGES FLAGGED
RADIOLOGIST REVIEWS AND CONFIRMS FINDINGS
Incidental findings represent an important source of both clinical opportunity and medico-legal exposure. Rayscape continuously evaluates chest structures in routine CT examinations, functioning as an additional layer of assistance.
Who Benefits
Radiologists
Hospitals & Imaging Centers
Patients
Rayscape integrates directly with your imaging ecosystem, allowing AI analysis to happen automatically in the background while radiologists work in familiar systems.
AI DETECTION
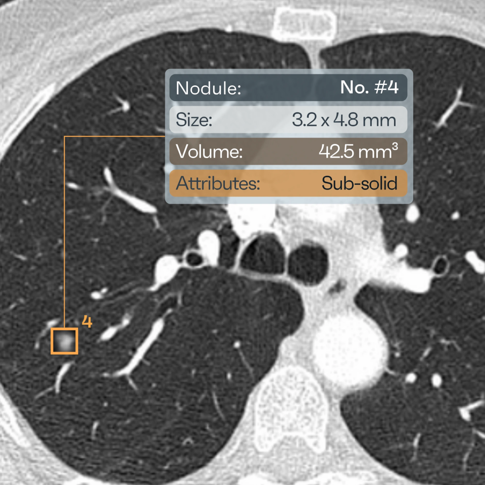
NODULE INFORMATION
WORKLIST PRIORITIZATION
AI DETECTION
NODULE INFORMATION
WORKLIST PRIORITIZATION
FROC-based accuracy for lung nodules
Mean improvement in radiologists' nodule detection
AI-supported review reduces the risk of overlooked lesions
Reduced turnaround time through optimized workflow and prioritization

\\
CLINICAL EVIDENCE

| Feature | Rayscape |
|---|---|
| Incidental Findings | |
| Routine chest CT support | |
| Early Detection | |
| Automated Nodule Analysis | |
| Fleischner follow up criteria | |
| Automated Structured Reporting | |
| Smart workflow integration | |
| Validated Across Diverse Populations | |
| Support for Radiologists |
\\

The decisive factor in choosing Rayscape was how results are presented—I can see and understand the findings immediately, without having to figure out how the system wants me to read them. Processing takes about three minutes end-to-end, so results are usually in PACS by the time we start reading. Detection is consistently good—it basically doesn’t miss meaningful findings—and the on-premise setup avoids cloud complexity, delays, and data-transfer risks. For us, it’s a reliable, time-saving solution that fits perfectly into our workflow.
"Learn how Rayscape helps surface incidental pulmonary nodules in everyday imaging practice.
