High X-ray volumes
Radiology teams review large numbers of chest X-rays across routine studies, chronic disease monitoring, pre-operative imaging, and follow-up exams.
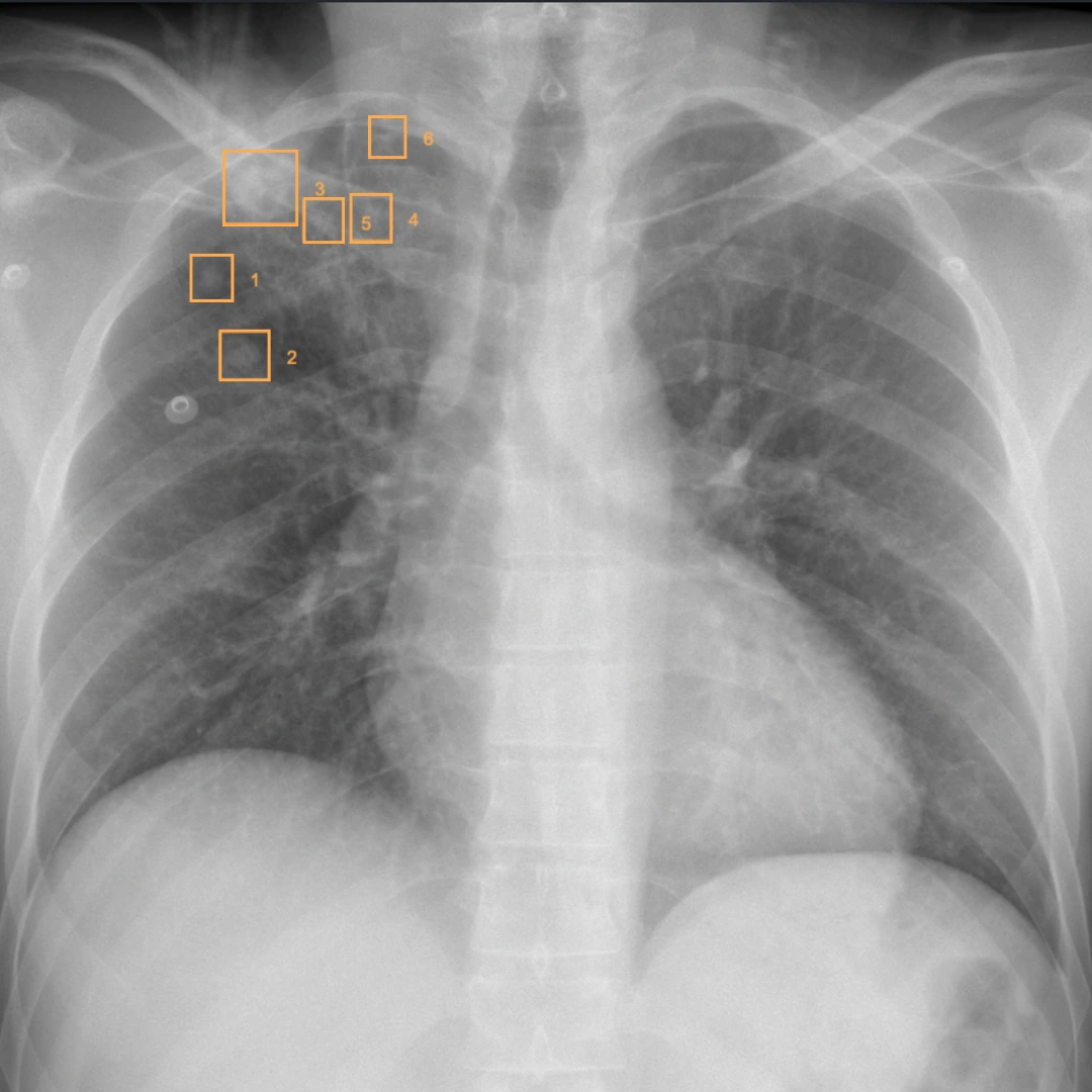
Radiology departments and outpatient imaging centers review a wide range of chest X-rays every day, from chronic disease monitoring and pre-operative assessment to general diagnostic workup. Rayscape CXR supports efficient, reliable review by helping identify clinically relevant thoracic abnormalities such as consolidation, interstitial patterns, nodules, pleural findings, and cardiac silhouette changes, while providing structured outputs.
Routine imaging does not mean simple imaging. Without AI support, radiologists must balance speed with thoroughness across heterogeneous case types, often under sustained workload. The main drawbacks are:

Radiology teams review large numbers of chest X-rays across routine studies, chronic disease monitoring, pre-operative imaging, and follow-up exams.
Routine chest X-ray workflow includes a wide range of overlapping patterns that require careful differentiation across heterogeneous cases.
In busy radiology environments, attention is often focused on complex modalities such as CT and MRI.
Rayscape integrates directly with your imaging ecosystem, allowing AI analysis to happen automatically in the background while radiologists work in familiar systems.
AI DETECTION
AI BONE SUPPRESSION AND SUBTRACTION
CARDIO-THORACIC INDEX
CASE PRIORITIZATION
AI DETECTION
AI BONE SUPPRESSION AND SUBTRACTION
CARDIO-THORACIC INDEX
CASE PRIORITIZATIONRAYSCAPE CXR AI brings computational clarity to everyday imaging, continuously analyzing chest X-rays to surface clinically meaningful patterns that might otherwise remain buried in visual complexity. By combining broad abnormality detection with advanced image enhancement, the system helps transform raw imaging data into structured, actionable insight.

+ 10 others

Average performance across 142 chest X-ray findings
Mean increase in radiologists’ detection performance with AI assistance
Structured outputs with detailed, consistent clinical analysis
Reduction in reading time across chest X-ray workflows

\\
CLINICAL EVIDENCE
CHEST XRAY IS TAKEN
AI RUNS IN THE BACKGROUND
MEANINGFUL LESIONS ARE FLAGGED
RADIOLOGIST CONFIRMS FINDINGS
Designed to function as a second reader rather than a separate system, Rayscape enhances rapid case review, recognition of acute changes, and structured communication without altering established reading workflows. The solution is DICOM-compliant, compatible with standard hospital IT environments, and built to scale from individual small radiology departments to large hospitals, delivering advanced AI support with minimal operational friction.
Rayscape CXR acts as a clinically embedded support layer, helping radiology departments identify relevant thoracic abnormalitiesmaintain consistency across high-volume reading, and generate structured outputs for more efficient reporting. Designed for integration into routine imaging workflows, it supports thorough review without disrupting established reading environments.
\\

There was one instance where both radiologists missed a small pneumothorax, but the software drew attention to it, so we didn’t miss it. It was complementary to us. Deployment was fast, the on-premise server installation went smoothly, and support from the Rayscape team was very good throughout the process.
"Learn how Rayscape AI enhances routine chest X-ray workflows, from detection to structured reporting.
